天猫精灵x1视频,智能生活新伙伴,视频体验全面解析
你有没有听说过天猫精灵X1视频?最近这款智能音箱在网络上可是火得一塌糊涂呢!今天,我就要带你全方位地了解一下这款神奇的小家伙,让你对它爱不释手!天猫精灵X1视频:智能生活的开启者想象你在家中懒洋洋地躺在沙发上,只需动...
双壁波纹管安装视频,视频教程解析
最近我在网上发现了一个超级实用的视频,教大家怎么安装双壁波纹管!是不是听起来就有点心动?那就跟着我一起,揭开这个神秘双壁波纹管的神秘面纱吧!双壁波纹管,你了解多少?首先,得先来科普什么是双壁波纹管。简单来说,它就是一...
儿歌视频100首,100首儿歌视频精选回顾
亲爱的读者们,你是否还记得那些伴随着我们成长的儿歌呢?那些简单而又朗朗上口的旋律,仿佛是时光的魔法,将我们带回到无忧无虑的童年。今天,就让我们一起走进儿歌的世界,探索那些让人回味无穷的100首儿歌视频吧!儿歌的魅力:...
叩背视频,高效叩背技巧,轻松缓解呼吸道不适
你有没有看过那种让人忍俊不禁的叩背视频?就是那种两个人面对面,一个用背部轻轻敲打另一个的背部,看起来简单却充满了趣味和温馨的视频。最近,这类视频在网络上可是火得一塌糊涂呢!今天,就让我带你一起走进叩背视频的世界,看看...
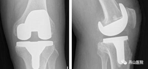
膝关节置换视频,从术前准备到术后康复
你有没有想过,当你的膝关节像老化的弹簧一样“嘎吱嘎吱”作响时,是不是该考虑一下换一个全新的“关节”呢?没错,我说的就是膝关节置换手术。今天,就让我带你一起走进这个神秘的世界,通过膝关节置换视频,看看这个手术的全过程,...
灌溉农业视频,科技助力农业发展的创新实践
灌溉农业,这可是现代农业技术中的一大亮点!想象那些绿油油的田野,在清泉的滋润下,生机勃勃,是不是很心动?今天,就让我带你走进灌溉农业的世界,一起看看那些精彩的视频,感受现代农业的魅力吧!一、灌溉农业,现代农业的“生命...
北京堵车视频,车水马龙,出行挑战
你有没有想过,当北京这座繁华都市的街道上,车水马龙,拥堵不堪时,那会是怎样的景象呢?今天,就让我们一起揭开这神秘的面纱,通过一些真实的北京堵车视频,一探究竟吧!一、北京堵车,你见过吗?提起北京堵车,相信很多人都会想起...
刘泽文视频,揭秘成功背后的故事与智慧
亲爱的读者们,今天我要和你分享一个特别有趣的话题——刘泽文视频。你可能听说过这个名字,也可能对他并不熟悉。不过别急,接下来我会从多个角度带你深入了解这位网络红人的魅力所在。一、刘泽文是谁?刘泽文,一个充满活力和创意的...
彝族舞蹈视频大全,视频大全中的民族韵律之旅
彝族舞蹈,如同彝族的灵魂,跳动在山川之间,传递着古老的故事和热情的生命力。今天,就让我们一起走进彝族舞蹈的世界,通过视频大全,感受这份独特的文化魅力。一、彝族舞蹈的起源与传承彝族舞蹈,源远流长,起源于彝族先民的生产生...














京公网安备11000000000001号
京ICP备11000001号